Размер шрифта:
Цвета сайта:
Изображения:
 

Тромбозы и антитромботическая терапия при аритмиях

3

Read part of it
Подписка
Read part of it
Тромбозы и антитромботическая терапия при аритмиях / Д. А. Затейщиков, И. В. Зотова, Е. Н. Данковцева, Б. А. Сидоренко. - 2-е. - М. : Практика, 2011. - 296 c. - ISBN 9785898161071. - Текст : электронный // ЭБС "Букап" : [сайт]. - URL : https://www.books-up.ru/en/book/trombozy-i-antitromboticheskaya-terapiya-pri-aritmiyah-87822/ (дата обращения: 21.05.2026). - Режим доступа : по подписке.
Аннотация

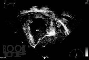
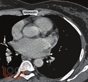
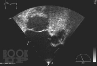
Книга посвящена одной из актуальных проблем кардиологии—тромбоэмболическим осложнениям у больных с аритмиями. Подробно обсуждаются молекулярные и генетические механизмы тромбообразования при аритмиях, клинические и инструментальные признаки внутрисердечных тромбов, а так же способы их визуализации. Приводятся данные о способах оценки риска тромбоэмболических осложнений и тактике антитромботической терапии в различных группах больных с аритмиями. Отдельно освещаются вопросы антитромботической терапии в сложных клинических ситуациях — при хирургических операциях, в случае обострения ИБС, при беременности, при проведении катетерной деструкции. Поводом для выхода второго издания книги послужило появление представителя нового класса антитромботических средств — дабигатрана этексилата, в связи с чем международное кардиологическое сообщество поменяло рекомендации по профилактике тромбоэмболических осложнений у больных с аритмиями. Для кардиологов (в том числе интервенционных), терапевтов, студентов медицинских вузов.

свернуть
Дополнительные материалы
Изображения 32

Ещё больше материалов после регистрации

Видео 0
В этом разделе еще нет дополнительных материалов, будьте первыми.
Аудио 0
В этом разделе еще нет дополнительных материалов, будьте первыми.
Документы 0
В этом разделе еще нет дополнительных материалов, будьте первыми.
Добавить материал
Тромбозы и антитромботическая терапия при аритмиях / Д. А. Затейщиков, И. В. Зотова, Е. Н. Данковцева, Б. А. Сидоренко. - 2-е. - М. : Практика, 2011. - 296 c. - ISBN 9785898161071. - Текст : электронный // ЭБС "Букап" : [сайт]. - URL : https://www.books-up.ru/en/book/trombozy-i-antitromboticheskaya-terapiya-pri-aritmiyah-87822/ (дата обращения: 21.05.2026). - Режим доступа : по подписке.
Подписка
6 месяцев
12 месяцев
Read part of it

Книга посвящена одной из актуальных проблем кардиологии—тромбоэмболическим осложнениям у больных с аритмиями. Подробно обсуждаются молекулярные и генетические механизмы тромбообразования при аритмиях, клинические и инструментальные признаки внутрисердечных тромбов, а так же способы их визуализации. Приводятся данные о способах оценки риска тромбоэмболических осложнений и тактике антитромботической терапии в различных группах больных с аритмиями. Отдельно освещаются вопросы антитромботической терапии в сложных клинических ситуациях — при хирургических операциях, в случае обострения ИБС, при беременности, при проведении катетерной деструкции. Поводом для выхода второго издания книги послужило появление представителя нового класса антитромботических средств — дабигатрана этексилата, в связи с чем международное кардиологическое сообщество поменяло рекомендации по профилактике тромбоэмболических осложнений у больных с аритмиями. Для кардиологов (в том числе интервенционных), терапевтов, студентов медицинских вузов.

свернуть

Дополнительные материалы

Ещё больше материалов после регистрации

В этом разделе еще нет дополнительных материалов, будьте первыми.
В этом разделе еще нет дополнительных материалов, будьте первыми.
В этом разделе еще нет дополнительных материалов, будьте первыми.
Добавить материал

Похожие книги