Размер шрифта:
Цвета сайта:
Изображения:
 

Возрастной андрогенный дефицит у мужчин

Read part of it
Подписка
Печатная версия
Read part of it
Дедов В. И. Возрастной андрогенный дефицит у мужчин / В. И. Дедов. - 2-е изд. дополненное. - М. : Практическая медицина, 2020. - 336 c. - ISBN 9785988115878. - Текст : электронный // ЭБС "Букап" : [сайт]. - URL : https://www.books-up.ru/en/book/vozrastnoj-androgennyj-deficit-u-muzhchin-9783541/ (дата обращения: 04.05.2026). - Режим доступа : по подписке.
Аннотация

Монография, посвященная проблеме возрастного андрогенного дефицита, написанная и изданная в 2006 г., не только опередила время, но и стала научной сенсацией, а также настольной книгой всех урологов России.
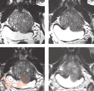
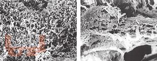
Возрастной андрогенный дефицит, несмотря на высокую распространенность, изучен недостаточно полно. Актуальность проблемы связана с тем, что дефицит андрогенов проявляется не только нарушением половой функции, но и ассоциирован со многими возрастными заболеваниями (ожирение, сахарный диабет, ИБС, остеопороз и др.), ухудшая их течение и прогноз.
За 13 лет, прошедших с выхода издания, проблема возрастного андрогенного дефицита вышла за рамки эндокринологии и стала междисциплинарной, и не только не потеряла актуальности, но и, в связи с глобальным старением общества, а также появлением понятия «качество жизни», стала социальной, в связи с чем назрела необходимость переиздания монографии.
Основной текст монографии переиздается в неизменном виде, а новый опыт, накопленный с 2006 г., представлен в Приложениях к изданию.

Для эндокринологов, андрологов, сексопатологов, урологов, геронтологов и специалистов по репродуктивной и антивозрастной медицине

свернуть
Дополнительные материалы
Изображения 9

Ещё больше материалов после регистрации

Видео 0
В этом разделе еще нет дополнительных материалов, будьте первыми.
Аудио 0
В этом разделе еще нет дополнительных материалов, будьте первыми.
Документы 0
В этом разделе еще нет дополнительных материалов, будьте первыми.
Добавить материал
Дедов В. И. Возрастной андрогенный дефицит у мужчин / В. И. Дедов. - 2-е изд. дополненное. - М. : Практическая медицина, 2020. - 336 c. - ISBN 9785988115878. - Текст : электронный // ЭБС "Букап" : [сайт]. - URL : https://www.books-up.ru/en/book/vozrastnoj-androgennyj-deficit-u-muzhchin-9783541/ (дата обращения: 04.05.2026). - Режим доступа : по подписке.
Подписка
1 месяц
3 месяца
6 месяцев
12 месяцев
Печатная версия
Read part of it

Монография, посвященная проблеме возрастного андрогенного дефицита, написанная и изданная в 2006 г., не только опередила время, но и стала научной сенсацией, а также настольной книгой всех урологов России.
Возрастной андрогенный дефицит, несмотря на высокую распространенность, изучен недостаточно полно. Актуальность проблемы связана с тем, что дефицит андрогенов проявляется не только нарушением половой функции, но и ассоциирован со многими возрастными заболеваниями (ожирение, сахарный диабет, ИБС, остеопороз и др.), ухудшая их течение и прогноз.
За 13 лет, прошедших с выхода издания, проблема возрастного андрогенного дефицита вышла за рамки эндокринологии и стала междисциплинарной, и не только не потеряла актуальности, но и, в связи с глобальным старением общества, а также появлением понятия «качество жизни», стала социальной, в связи с чем назрела необходимость переиздания монографии.
Основной текст монографии переиздается в неизменном виде, а новый опыт, накопленный с 2006 г., представлен в Приложениях к изданию.

Для эндокринологов, андрологов, сексопатологов, урологов, геронтологов и специалистов по репродуктивной и антивозрастной медицине

свернуть

Дополнительные материалы

Ещё больше материалов после регистрации

В этом разделе еще нет дополнительных материалов, будьте первыми.
В этом разделе еще нет дополнительных материалов, будьте первыми.
В этом разделе еще нет дополнительных материалов, будьте первыми.
Добавить материал

Похожие книги