Размер шрифта:
Цвета сайта:
Изображения:
 

Тромботическая микроангиопатия и трансплантация почки

Read part of it
Подписка
Печатная версия
Read part of it
Прокопенко Е. И. Тромботическая микроангиопатия и трансплантация почки / Е. И. Прокопенко, Е. С. Столяревич. - М. : Практическая медицина, 2025. - 136 c. - ISBN 9785988117131. - Текст : электронный // ЭБС "Букап" : [сайт]. - URL : https://www.books-up.ru/en/book/tromboticheskaya-mikroangiopatiya-i-transplantaciya-pochki-19594399/ (дата обращения: 12.05.2026). - Режим доступа : по подписке.
Аннотация

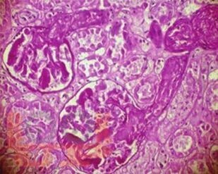
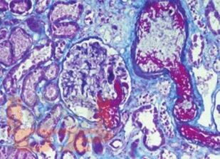
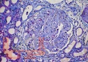
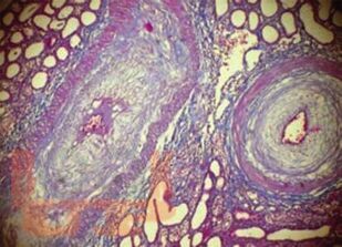
В монографии обобщены результаты исследований авторов и современные литературные данные, посвященные тромботической микроангиопатии у пациентов, находящихся в листе ожидания трансплантации почки, и у реципиентов ренального трансплантата. Большое внимание уделяется патогенетическим механизмам, классификации, проблемам профилактики, ранней диагностики и лечения тромботической микроангиопатии после трансплантации почки, а также влиянию данного осложнения на ближайшие и отдаленные результаты трансплантации.
Для нефрологов, трансплантологов, врачей отделений гемодиализа, терапевтов, гематологов и врачей других специальностей, научных сотрудников и сотрудников кафедр нефрологии и трансплантологии, слушателей всех форм непрерывного медицинского образования, клинических ординаторов, аспирантов, студентов медицинских вузов.

свернуть
Дополнительные материалы
Изображения 57

Ещё больше материалов после регистрации

Видео 0
В этом разделе еще нет дополнительных материалов, будьте первыми.
Аудио 0
В этом разделе еще нет дополнительных материалов, будьте первыми.
Документы 0
В этом разделе еще нет дополнительных материалов, будьте первыми.
Добавить материал
Прокопенко Е. И. Тромботическая микроангиопатия и трансплантация почки / Е. И. Прокопенко, Е. С. Столяревич. - М. : Практическая медицина, 2025. - 136 c. - ISBN 9785988117131. - Текст : электронный // ЭБС "Букап" : [сайт]. - URL : https://www.books-up.ru/en/book/tromboticheskaya-mikroangiopatiya-i-transplantaciya-pochki-19594399/ (дата обращения: 12.05.2026). - Режим доступа : по подписке.
Подписка
3 месяца
6 месяцев
12 месяцев
Печатная версия
Read part of it

В монографии обобщены результаты исследований авторов и современные литературные данные, посвященные тромботической микроангиопатии у пациентов, находящихся в листе ожидания трансплантации почки, и у реципиентов ренального трансплантата. Большое внимание уделяется патогенетическим механизмам, классификации, проблемам профилактики, ранней диагностики и лечения тромботической микроангиопатии после трансплантации почки, а также влиянию данного осложнения на ближайшие и отдаленные результаты трансплантации.
Для нефрологов, трансплантологов, врачей отделений гемодиализа, терапевтов, гематологов и врачей других специальностей, научных сотрудников и сотрудников кафедр нефрологии и трансплантологии, слушателей всех форм непрерывного медицинского образования, клинических ординаторов, аспирантов, студентов медицинских вузов.

свернуть

Дополнительные материалы

Ещё больше материалов после регистрации

В этом разделе еще нет дополнительных материалов, будьте первыми.
В этом разделе еще нет дополнительных материалов, будьте первыми.
В этом разделе еще нет дополнительных материалов, будьте первыми.
Добавить материал

Похожие книги