Размер шрифта:
Цвета сайта:
Изображения:
 

Травмы печени

Большая медицинская библиотека
Read part of it
Подписка
Read part of it
Травмы печени / Р. Ш. Шаймарданов, И. С. Малков, В. А. Филиппов, В. Н. Коробков. - Казань : КГМА, 2015. - 35 c. - Текст : электронный // ЭБС "Букап" : [сайт]. - URL : https://www.books-up.ru/en/book/travmy-pecheni-10535167/ (дата обращения: 17.01.2026). - Режим доступа : по подписке.
Аннотация

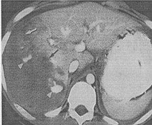
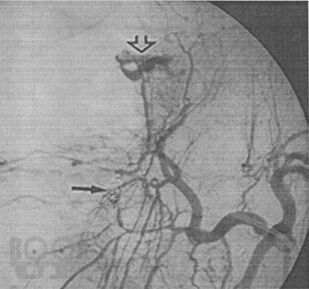
В пособии с современных позиций рассматриваются вопросы клинической и инструментальной диагностики травм печени и диагностическая ценность каждого из них. Сформулированы хирургическая тактика при травмах печени и критерии определяющие хирургическую тактику.

Издание рассчитано на хирургов, ординаторов, аспирантов, слушателей ФПК и студентов медицинских вузов.

свернуть
Дополнительные материалы
Изображения 13

Ещё больше материалов после регистрации

Видео 0
В этом разделе еще нет дополнительных материалов, будьте первыми.
Аудио 0
В этом разделе еще нет дополнительных материалов, будьте первыми.
Документы 0
В этом разделе еще нет дополнительных материалов, будьте первыми.
Добавить материал
Большая медицинская библиотека
Травмы печени / Р. Ш. Шаймарданов, И. С. Малков, В. А. Филиппов, В. Н. Коробков. - Казань : КГМА, 2015. - 35 c. - Текст : электронный // ЭБС "Букап" : [сайт]. - URL : https://www.books-up.ru/en/book/travmy-pecheni-10535167/ (дата обращения: 17.01.2026). - Режим доступа : по подписке.
Подписка
6 месяцев
12 месяцев
Read part of it

В пособии с современных позиций рассматриваются вопросы клинической и инструментальной диагностики травм печени и диагностическая ценность каждого из них. Сформулированы хирургическая тактика при травмах печени и критерии определяющие хирургическую тактику.

Издание рассчитано на хирургов, ординаторов, аспирантов, слушателей ФПК и студентов медицинских вузов.

свернуть

Дополнительные материалы

Ещё больше материалов после регистрации

В этом разделе еще нет дополнительных материалов, будьте первыми.
В этом разделе еще нет дополнительных материалов, будьте первыми.
В этом разделе еще нет дополнительных материалов, будьте первыми.
Добавить материал

Похожие книги