Размер шрифта:
Цвета сайта:
Изображения:
 

Textbook of Pleural Diseases

Read part of it
Подписка
Read part of it
Textbook of Pleural Diseases / A. K. Prakash, A. Jaiswal, R. Guleria, B. Datta. - New Delhi : Jaypee Brothers Medical Publishers, 2024. - 302 c. - ISBN 9789356968929. - Текст : электронный // ЭБС "Букап" : [сайт]. - URL : https://www.books-up.ru/en/book/textbook-of-pleural-diseases-18337729/ (дата обращения: 30.05.2026). - Режим доступа : по подписке.
Аннотация

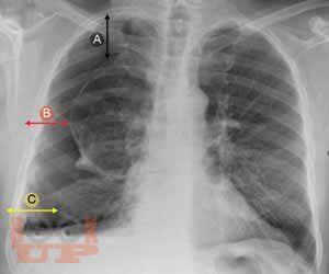
First textbook about pleural disease written and edited by Indian authors. First pleural textbook which has contributions from multiple authors. Textbook of pleural disease which has been authored by multiple specialtiesa unique feature where each chapter has been written by the concerned specialists, e.g., pleural disease in kidney disease by nephrologist, hepatic hydrothorax by hepatologist, and pleural disease in gynecological disorder by gynecologist. Every aspect of pleura from embryology, anatomy, physiology, and radiological diagnosis has been covered in detail. Role of ultrasonography in pleura, which is now a vital tool for point-of-care management has been described in detail. High-quality pleural imaging and its highlights are shown in concerned chapters Pathophysiologic basis of pleural diseases has been discussed with each specific disease. Concise algorithm summarizing disease management has been clearly depicted. Updated treatment as per recent guidelines has been incorporated. The topics in pleural diseases have been written by eminent chest physicians all over India. A special chapter describes pleural diseases in COVID, in the post pandemic era. Being a Lung Transplant center, a special chapter on overview on pleura issues in lung transplant has been elaborated.

свернуть
Дополнительные материалы
Изображения 35

Ещё больше материалов после регистрации

Видео 0
В этом разделе еще нет дополнительных материалов, будьте первыми.
Аудио 0
В этом разделе еще нет дополнительных материалов, будьте первыми.
Документы 0
В этом разделе еще нет дополнительных материалов, будьте первыми.
Добавить материал
Textbook of Pleural Diseases / A. K. Prakash, A. Jaiswal, R. Guleria, B. Datta. - New Delhi : Jaypee Brothers Medical Publishers, 2024. - 302 c. - ISBN 9789356968929. - Текст : электронный // ЭБС "Букап" : [сайт]. - URL : https://www.books-up.ru/en/book/textbook-of-pleural-diseases-18337729/ (дата обращения: 30.05.2026). - Режим доступа : по подписке.
Подписка
12 месяцев
Read part of it

First textbook about pleural disease written and edited by Indian authors. First pleural textbook which has contributions from multiple authors. Textbook of pleural disease which has been authored by multiple specialtiesa unique feature where each chapter has been written by the concerned specialists, e.g., pleural disease in kidney disease by nephrologist, hepatic hydrothorax by hepatologist, and pleural disease in gynecological disorder by gynecologist. Every aspect of pleura from embryology, anatomy, physiology, and radiological diagnosis has been covered in detail. Role of ultrasonography in pleura, which is now a vital tool for point-of-care management has been described in detail. High-quality pleural imaging and its highlights are shown in concerned chapters Pathophysiologic basis of pleural diseases has been discussed with each specific disease. Concise algorithm summarizing disease management has been clearly depicted. Updated treatment as per recent guidelines has been incorporated. The topics in pleural diseases have been written by eminent chest physicians all over India. A special chapter describes pleural diseases in COVID, in the post pandemic era. Being a Lung Transplant center, a special chapter on overview on pleura issues in lung transplant has been elaborated.

свернуть

Дополнительные материалы

Ещё больше материалов после регистрации

В этом разделе еще нет дополнительных материалов, будьте первыми.
В этом разделе еще нет дополнительных материалов, будьте первыми.
В этом разделе еще нет дополнительных материалов, будьте первыми.
Добавить материал

Похожие книги