Размер шрифта:
Цвета сайта:
Изображения:
 

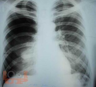
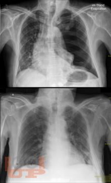
Спонтанный пневмоторакс

Большая медицинская библиотека
Read part of it
Подписка
Read part of it
Ханнанов Н. И. Спонтанный пневмоторакс : учебное пособие для врачей / Н. И. Ханнанов, В. В. Фаттахов, М. Н. Насруллаев. - Казань : КГМА, 2020. - 40 c. - Текст : электронный // ЭБС "Букап" : [сайт]. - URL : https://www.books-up.ru/en/book/spontannyj-pnevmotoraks-16035604/ (дата обращения: 01.05.2026). - Режим доступа : по подписке.
Аннотация

В учебном пособии освещены материалы по клинической анатомии и патологии лимфатических сосудов нижних конечностей, а также традиционным и современным методам их диагностики и лечения.

свернуть
Дополнительные материалы
Изображения 8

Ещё больше материалов после регистрации

Видео 0
В этом разделе еще нет дополнительных материалов, будьте первыми.
Аудио 0
В этом разделе еще нет дополнительных материалов, будьте первыми.
Документы 0
В этом разделе еще нет дополнительных материалов, будьте первыми.
Добавить материал
Большая медицинская библиотека
Ханнанов Н. И. Спонтанный пневмоторакс : учебное пособие для врачей / Н. И. Ханнанов, В. В. Фаттахов, М. Н. Насруллаев. - Казань : КГМА, 2020. - 40 c. - Текст : электронный // ЭБС "Букап" : [сайт]. - URL : https://www.books-up.ru/en/book/spontannyj-pnevmotoraks-16035604/ (дата обращения: 01.05.2026). - Режим доступа : по подписке.
Подписка
12 месяцев
Read part of it

В учебном пособии освещены материалы по клинической анатомии и патологии лимфатических сосудов нижних конечностей, а также традиционным и современным методам их диагностики и лечения.

свернуть

Дополнительные материалы

Ещё больше материалов после регистрации

В этом разделе еще нет дополнительных материалов, будьте первыми.
В этом разделе еще нет дополнительных материалов, будьте первыми.
В этом разделе еще нет дополнительных материалов, будьте первыми.
Добавить материал

Похожие книги