Размер шрифта:
Цвета сайта:
Изображения:
 

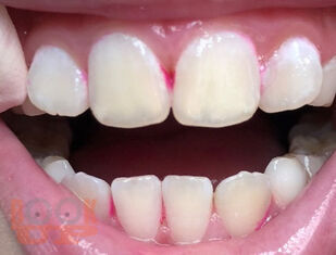
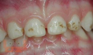
Современные методы диагностики и оценки риска кариеса зубов у детей

Большая медицинская библиотека
Read part of it
Подписка
Read part of it
Современные методы диагностики и оценки риска кариеса зубов у детей : Учебное пособие / Е. Е. Маслак, А. С. Осокина, Т. Г. Хмызова и др. - Волгоград : ВолгГМУ, 2023. - 88 c. - ISBN 9785965208524. - Текст : электронный // ЭБС "Букап" : [сайт]. - URL : https://www.books-up.ru/en/book/sovremennye-metody-diagnostiki-i-ocenki-riska-kariesa-zubov-u-detej-16552466/ (дата обращения: 01.05.2026). - Режим доступа : по подписке.
Аннотация

В учебном пособии представлены современные методы диагностики и оценки риска развития кариеса зубов у детей, рассмотрены их преимущества и недостатки.

Пособие соответствует рабочим программам обучения студентов стоматологического профиля по специальности «Стоматология» (формированию компетенций ПК-2, ПК-5, ПК-6, ПК-8, ПК-18, ПК-19).

Пособие предназначено для додипломного и последипломного обучения врачей-стоматологов.

свернуть
Дополнительные материалы
Изображения 72

Ещё больше материалов после регистрации

Видео 0
В этом разделе еще нет дополнительных материалов, будьте первыми.
Аудио 0
В этом разделе еще нет дополнительных материалов, будьте первыми.
Документы 0
В этом разделе еще нет дополнительных материалов, будьте первыми.
Добавить материал
Большая медицинская библиотека
Современные методы диагностики и оценки риска кариеса зубов у детей : Учебное пособие / Е. Е. Маслак, А. С. Осокина, Т. Г. Хмызова и др. - Волгоград : ВолгГМУ, 2023. - 88 c. - ISBN 9785965208524. - Текст : электронный // ЭБС "Букап" : [сайт]. - URL : https://www.books-up.ru/en/book/sovremennye-metody-diagnostiki-i-ocenki-riska-kariesa-zubov-u-detej-16552466/ (дата обращения: 01.05.2026). - Режим доступа : по подписке.
Подписка
6 месяцев
12 месяцев
Read part of it

В учебном пособии представлены современные методы диагностики и оценки риска развития кариеса зубов у детей, рассмотрены их преимущества и недостатки.

Пособие соответствует рабочим программам обучения студентов стоматологического профиля по специальности «Стоматология» (формированию компетенций ПК-2, ПК-5, ПК-6, ПК-8, ПК-18, ПК-19).

Пособие предназначено для додипломного и последипломного обучения врачей-стоматологов.

свернуть

Дополнительные материалы

Ещё больше материалов после регистрации

В этом разделе еще нет дополнительных материалов, будьте первыми.
В этом разделе еще нет дополнительных материалов, будьте первыми.
В этом разделе еще нет дополнительных материалов, будьте первыми.
Добавить материал

Похожие книги