Размер шрифта:
Цвета сайта:
Изображения:
 

Отбеливание зубов

Большая медицинская библиотека
Read part of it
Подписка
Read part of it
Отбеливание зубов : учебное пособие / С. Л. Бакшеева, Н. В. Тарасова, И. В. Орешкин и др. - Красноярск : КрасГМУ, 2023. - 92 c. - Текст : электронный // ЭБС "Букап" : [сайт]. - URL : https://www.books-up.ru/en/book/otbelivanie-zubov-19690780/ (дата обращения: 17.04.2026). - Режим доступа : по подписке.
Аннотация

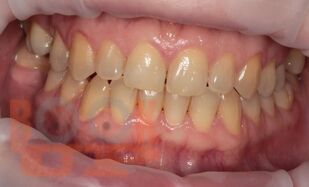
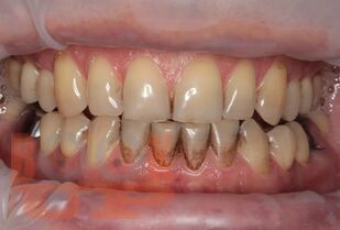
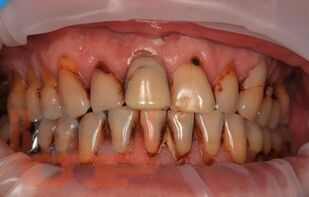
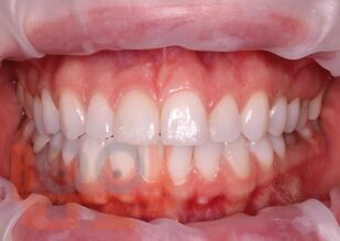
Учебное пособие посвящено проблеме профессионального и домашнего отбеливания зубов, как консервативного метода эстетической стоматологии. Представленный материал изложен в строгой логической и дидактической структуре, взаимообусловленности научной парадигмы и объективной реальности в клинической стоматологической практике, освещены дискуссионные вопросы данной проблемы. Основной педагогической задачей данного учебного пособия является формирование у студентов стоматологического факультета профессиональных компетенций по основным клиническим вопросам в практике терапевтической стоматологии. Пособие предназначено для студентов медицинских вузов, обучающихся по специальности 31.05.03 Стоматология.

свернуть
Дополнительные материалы
Изображения 46

Ещё больше материалов после регистрации

Видео 0
В этом разделе еще нет дополнительных материалов, будьте первыми.
Аудио 0
В этом разделе еще нет дополнительных материалов, будьте первыми.
Документы 0
В этом разделе еще нет дополнительных материалов, будьте первыми.
Добавить материал
Большая медицинская библиотека
Отбеливание зубов : учебное пособие / С. Л. Бакшеева, Н. В. Тарасова, И. В. Орешкин и др. - Красноярск : КрасГМУ, 2023. - 92 c. - Текст : электронный // ЭБС "Букап" : [сайт]. - URL : https://www.books-up.ru/en/book/otbelivanie-zubov-19690780/ (дата обращения: 17.04.2026). - Режим доступа : по подписке.
Подписка
6 месяцев
12 месяцев
Read part of it

Учебное пособие посвящено проблеме профессионального и домашнего отбеливания зубов, как консервативного метода эстетической стоматологии. Представленный материал изложен в строгой логической и дидактической структуре, взаимообусловленности научной парадигмы и объективной реальности в клинической стоматологической практике, освещены дискуссионные вопросы данной проблемы. Основной педагогической задачей данного учебного пособия является формирование у студентов стоматологического факультета профессиональных компетенций по основным клиническим вопросам в практике терапевтической стоматологии. Пособие предназначено для студентов медицинских вузов, обучающихся по специальности 31.05.03 Стоматология.

свернуть

Дополнительные материалы

Ещё больше материалов после регистрации

В этом разделе еще нет дополнительных материалов, будьте первыми.
В этом разделе еще нет дополнительных материалов, будьте первыми.
В этом разделе еще нет дополнительных материалов, будьте первыми.
Добавить материал

Похожие книги