Размер шрифта:
Цвета сайта:
Изображения:
 

Острый холецистит. Современные принципы диагностики и лечения

Большая медицинская библиотека
Read part of it
Подписка
Read part of it
Попов А. Е. Острый холецистит. Современные принципы диагностики и лечения : учебно-методическое пособие / А. Е. Попов. - Красноярск : КрасГМУ, 2019. - 49 c. - Текст : электронный // ЭБС "Букап" : [сайт]. - URL : https://www.books-up.ru/en/book/ostryj-holecistit-sovremennye-principy-diagnostiki-i-lecheniya-9535503/ (дата обращения: 10.02.2026). - Режим доступа : по подписке.
Аннотация

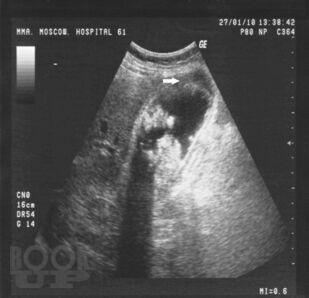
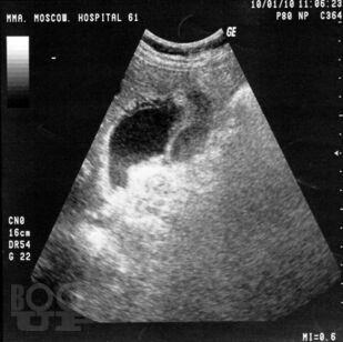
Учебно-методическое пособие посвящено актуальным проблемам этиологии, патогенеза, диагностики, современным методам консервативного и оперативного лечения острого холецистита. Представлены новые классификации, схемы консервативного лечения, современные виды оперативного лечения, учитывая утвержденные клинические рекомендации Российского общества хирургов (2015 г.). Издание иллюстрировано рисунками, таблицами, имеются тестовые задания и задачи. Пособие предназначено слушателей дополнительного профессионального образования и для ординаторов, обучающихся по специальности 31.08.67 Хирургия.

свернуть
Дополнительные материалы
Изображения 9

Ещё больше материалов после регистрации

Видео 0
В этом разделе еще нет дополнительных материалов, будьте первыми.
Аудио 0
В этом разделе еще нет дополнительных материалов, будьте первыми.
Документы 0
В этом разделе еще нет дополнительных материалов, будьте первыми.
Добавить материал
Большая медицинская библиотека
Попов А. Е. Острый холецистит. Современные принципы диагностики и лечения : учебно-методическое пособие / А. Е. Попов. - Красноярск : КрасГМУ, 2019. - 49 c. - Текст : электронный // ЭБС "Букап" : [сайт]. - URL : https://www.books-up.ru/en/book/ostryj-holecistit-sovremennye-principy-diagnostiki-i-lecheniya-9535503/ (дата обращения: 10.02.2026). - Режим доступа : по подписке.
Подписка
6 месяцев
12 месяцев
Read part of it

Учебно-методическое пособие посвящено актуальным проблемам этиологии, патогенеза, диагностики, современным методам консервативного и оперативного лечения острого холецистита. Представлены новые классификации, схемы консервативного лечения, современные виды оперативного лечения, учитывая утвержденные клинические рекомендации Российского общества хирургов (2015 г.). Издание иллюстрировано рисунками, таблицами, имеются тестовые задания и задачи. Пособие предназначено слушателей дополнительного профессионального образования и для ординаторов, обучающихся по специальности 31.08.67 Хирургия.

свернуть

Дополнительные материалы

Ещё больше материалов после регистрации

В этом разделе еще нет дополнительных материалов, будьте первыми.
В этом разделе еще нет дополнительных материалов, будьте первыми.
В этом разделе еще нет дополнительных материалов, будьте первыми.
Добавить материал

Похожие книги