Размер шрифта:
Цвета сайта:
Изображения:
 

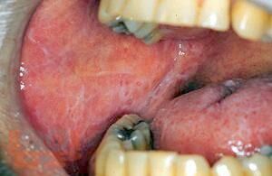
Красный плоский лишай слизистой оболочки рта (клиника, диагностика, лечение)

Большая медицинская библиотека
Read part of it
Подписка
Read part of it
Силантьева Е. Н. Красный плоский лишай слизистой оболочки рта (клиника, диагностика, лечение) : Учебно-методическое пособие для врачей / Е. Н. Силантьева, А. И. Заболотный. - Казань : КГМА, 2018. - 76 c. - Текст : электронный // ЭБС "Букап" : [сайт]. - URL : https://www.books-up.ru/en/book/krasnyj-ploskij-lishaj-slizistoj-obolochki-rta-klinika-diagnostika-lechenie-16052230/ (дата обращения: 08.12.2025). - Режим доступа : по подписке.
Аннотация

В учебно-методическом пособии представлены современные методы диагностики, дифференциальной диагностики, лечения и реабилитации пациентов с красным плоским лишаем слизистой оболочки полости рта.

Пособие предназначено для врачей-стоматологов разных специальностей: терапевтов, хирургов, ортопедов, общей практики. Пособие может быть использовано для подготовки к квалификационному, сертификационному экзаменам и аккредитации врачей по специальности «Стоматология терапевтическая», а также врачами ординаторами и студентами стоматологического факультета как дополнительная учебная литература.

свернуть
Дополнительные материалы
Изображения 31

Ещё больше материалов после регистрации

Видео 0
В этом разделе еще нет дополнительных материалов, будьте первыми.
Аудио 0
В этом разделе еще нет дополнительных материалов, будьте первыми.
Документы 0
В этом разделе еще нет дополнительных материалов, будьте первыми.
Добавить материал
Большая медицинская библиотека
Силантьева Е. Н. Красный плоский лишай слизистой оболочки рта (клиника, диагностика, лечение) : Учебно-методическое пособие для врачей / Е. Н. Силантьева, А. И. Заболотный. - Казань : КГМА, 2018. - 76 c. - Текст : электронный // ЭБС "Букап" : [сайт]. - URL : https://www.books-up.ru/en/book/krasnyj-ploskij-lishaj-slizistoj-obolochki-rta-klinika-diagnostika-lechenie-16052230/ (дата обращения: 08.12.2025). - Режим доступа : по подписке.
Подписка
6 месяцев
12 месяцев
Read part of it

В учебно-методическом пособии представлены современные методы диагностики, дифференциальной диагностики, лечения и реабилитации пациентов с красным плоским лишаем слизистой оболочки полости рта.

Пособие предназначено для врачей-стоматологов разных специальностей: терапевтов, хирургов, ортопедов, общей практики. Пособие может быть использовано для подготовки к квалификационному, сертификационному экзаменам и аккредитации врачей по специальности «Стоматология терапевтическая», а также врачами ординаторами и студентами стоматологического факультета как дополнительная учебная литература.

свернуть

Дополнительные материалы

Ещё больше материалов после регистрации

В этом разделе еще нет дополнительных материалов, будьте первыми.
В этом разделе еще нет дополнительных материалов, будьте первыми.
В этом разделе еще нет дополнительных материалов, будьте первыми.
Добавить материал

Похожие книги