Размер шрифта:
Цвета сайта:
Изображения:
 

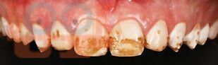
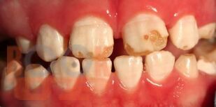
Флюороз зубов

Большая медицинская библиотека
Read part of it
Подписка
Read part of it
Флюороз зубов : учебное издание / В. Г. Галонский, Н. В. Тарасова, С. А. Овчинникова и др. - Красноярск : КрасГМУ, 2021. - 198 c. - Текст : электронный // ЭБС "Букап" : [сайт]. - URL : https://www.books-up.ru/en/book/flyuoroz-zubov-19723861/ (дата обращения: 17.04.2026). - Режим доступа : по подписке.
Аннотация

В учебном издании представлены данные по основным вопросам фундаментальной теории флюороза зубов. Освещены основные отечественные и зарубежные классификации и предлагаемые способы индексной оценки поражаемости населения флюорозом зубов. Приведены типичные клинические формы и варианты поражения флюорозом зубов.
Издание предназначено для врачей-ординаторов специальностей направления «Стоматология», а также для слушателей системы дополнительного профессионального образования, обучающихся программах повышения квалификации соответствующих специальностей. Учебный материал адаптирован к образовательным технологиям с учётом специфики ДПО в Институте последипломного образования КрасГМУ.

свернуть
Дополнительные материалы
Изображения 83

Ещё больше материалов после регистрации

Видео 0
В этом разделе еще нет дополнительных материалов, будьте первыми.
Аудио 0
В этом разделе еще нет дополнительных материалов, будьте первыми.
Документы 0
В этом разделе еще нет дополнительных материалов, будьте первыми.
Добавить материал
Большая медицинская библиотека
Флюороз зубов : учебное издание / В. Г. Галонский, Н. В. Тарасова, С. А. Овчинникова и др. - Красноярск : КрасГМУ, 2021. - 198 c. - Текст : электронный // ЭБС "Букап" : [сайт]. - URL : https://www.books-up.ru/en/book/flyuoroz-zubov-19723861/ (дата обращения: 17.04.2026). - Режим доступа : по подписке.
Подписка
6 месяцев
12 месяцев
Read part of it

В учебном издании представлены данные по основным вопросам фундаментальной теории флюороза зубов. Освещены основные отечественные и зарубежные классификации и предлагаемые способы индексной оценки поражаемости населения флюорозом зубов. Приведены типичные клинические формы и варианты поражения флюорозом зубов.
Издание предназначено для врачей-ординаторов специальностей направления «Стоматология», а также для слушателей системы дополнительного профессионального образования, обучающихся программах повышения квалификации соответствующих специальностей. Учебный материал адаптирован к образовательным технологиям с учётом специфики ДПО в Институте последипломного образования КрасГМУ.

свернуть

Дополнительные материалы

Ещё больше материалов после регистрации

В этом разделе еще нет дополнительных материалов, будьте первыми.
В этом разделе еще нет дополнительных материалов, будьте первыми.
В этом разделе еще нет дополнительных материалов, будьте первыми.
Добавить материал

Похожие книги