Размер шрифта:
Цвета сайта:
Изображения:
 

Диагностика варикозной болезни вен таза

Большая медицинская библиотека
Read part of it
Подписка
Read part of it
Диагностика варикозной болезни вен таза : Методические рекомендации для слушателей послевузовского и дополнительного профессионального образования / Е. Е. Фомина, Р. А. Бредихин, Р. В. Ахметзянов и др. - Казань : КГМА, 2016. - 18 c. - Текст : электронный // ЭБС "Букап" : [сайт]. - URL : https://www.books-up.ru/en/book/diagnostika-varikoznoj-bolezni-ven-taza-10448432/ (дата обращения: 06.05.2026). - Режим доступа : по подписке.
Аннотация

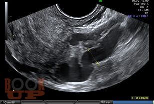
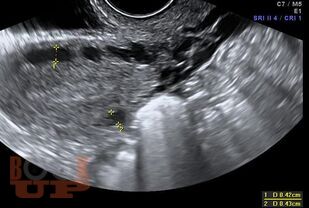
В пособии изложены современные принципы диагностики варикозной болезни вен таза. Представлена анатомия вен малого таза, этиопатогенез, классификация этого заболевания. Приводятся рекомендации о методологии инструментального исследования при этой патологии. Методические рекомендации предназначены для системы последипломного образования.

свернуть
Дополнительные материалы
Изображения 9

Ещё больше материалов после регистрации

Видео 0
В этом разделе еще нет дополнительных материалов, будьте первыми.
Аудио 0
В этом разделе еще нет дополнительных материалов, будьте первыми.
Документы 0
В этом разделе еще нет дополнительных материалов, будьте первыми.
Добавить материал
Большая медицинская библиотека
Диагностика варикозной болезни вен таза : Методические рекомендации для слушателей послевузовского и дополнительного профессионального образования / Е. Е. Фомина, Р. А. Бредихин, Р. В. Ахметзянов и др. - Казань : КГМА, 2016. - 18 c. - Текст : электронный // ЭБС "Букап" : [сайт]. - URL : https://www.books-up.ru/en/book/diagnostika-varikoznoj-bolezni-ven-taza-10448432/ (дата обращения: 06.05.2026). - Режим доступа : по подписке.
Подписка
12 месяцев
Read part of it

В пособии изложены современные принципы диагностики варикозной болезни вен таза. Представлена анатомия вен малого таза, этиопатогенез, классификация этого заболевания. Приводятся рекомендации о методологии инструментального исследования при этой патологии. Методические рекомендации предназначены для системы последипломного образования.

свернуть

Дополнительные материалы

Ещё больше материалов после регистрации

В этом разделе еще нет дополнительных материалов, будьте первыми.
В этом разделе еще нет дополнительных материалов, будьте первыми.
В этом разделе еще нет дополнительных материалов, будьте первыми.
Добавить материал

Похожие книги