Размер шрифта:
Цвета сайта:
Изображения:
 

Атлас микрофотографий по общему и частному курсу гистологии

Большая медицинская библиотека
Read part of it
Подписка
Read part of it
Атлас микрофотографий по общему и частному курсу гистологии : учебное пособие для студентов лечебного и педиатрического факультетов / А. В. Герасимов, А. В. Потапов, Л. Р. Мустафина, С. В. Логвинов. - Томск : Издательство СибГМУ, 2019. - 88 c. - Текст : электронный // ЭБС "Букап" : [сайт]. - URL : https://www.books-up.ru/en/book/atlas-mikrofotografij-po-obcshemu-i-chastnomu-kursu-gistologii-9281651/ (дата обращения: 17.12.2025). - Режим доступа : по подписке.
Аннотация

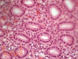
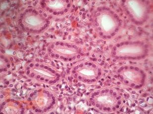
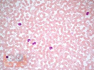
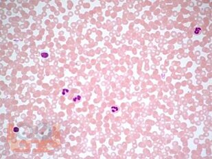
В учебном пособии представлены 160 оригинальных фотографий учебных микропрепаратов при малом и большом увеличении микроскопа с обозначением основных структурных компонентов в соответствии с последней гистологической терминологией (2008). Данные микропрепараты рассматриваются на практических занятиях, используются при диагностике на итоговых занятиях, зачёте и экзамене. Микрофотографии для пособия подготовлены коллективом авторов. Порядок представления микропрепаратов соответствует плану проведения практических занятий для студентов лечебного и педиатрического факультетов, рабочей программе по дисциплине «Гистология, эмбриология и цитология», соответствует Федеральному государственному образовательному стандарту.

Пособие предназначено для самостоятельных занятий студентов.

свернуть
Дополнительные материалы
Изображения 176

Ещё больше материалов после регистрации

Видео 0
В этом разделе еще нет дополнительных материалов, будьте первыми.
Аудио 0
В этом разделе еще нет дополнительных материалов, будьте первыми.
Документы 0
В этом разделе еще нет дополнительных материалов, будьте первыми.
Добавить материал
Большая медицинская библиотека
Атлас микрофотографий по общему и частному курсу гистологии : учебное пособие для студентов лечебного и педиатрического факультетов / А. В. Герасимов, А. В. Потапов, Л. Р. Мустафина, С. В. Логвинов. - Томск : Издательство СибГМУ, 2019. - 88 c. - Текст : электронный // ЭБС "Букап" : [сайт]. - URL : https://www.books-up.ru/en/book/atlas-mikrofotografij-po-obcshemu-i-chastnomu-kursu-gistologii-9281651/ (дата обращения: 17.12.2025). - Режим доступа : по подписке.
Подписка
6 месяцев
12 месяцев
Read part of it

В учебном пособии представлены 160 оригинальных фотографий учебных микропрепаратов при малом и большом увеличении микроскопа с обозначением основных структурных компонентов в соответствии с последней гистологической терминологией (2008). Данные микропрепараты рассматриваются на практических занятиях, используются при диагностике на итоговых занятиях, зачёте и экзамене. Микрофотографии для пособия подготовлены коллективом авторов. Порядок представления микропрепаратов соответствует плану проведения практических занятий для студентов лечебного и педиатрического факультетов, рабочей программе по дисциплине «Гистология, эмбриология и цитология», соответствует Федеральному государственному образовательному стандарту.

Пособие предназначено для самостоятельных занятий студентов.

свернуть

Дополнительные материалы

Ещё больше материалов после регистрации

В этом разделе еще нет дополнительных материалов, будьте первыми.
В этом разделе еще нет дополнительных материалов, будьте первыми.
В этом разделе еще нет дополнительных материалов, будьте первыми.
Добавить материал

Похожие книги