Размер шрифта:
Цвета сайта:
Изображения:
 

Современные методы диагностики заболеваний бассейна нижней полой вены

Большая медицинская библиотека
Read part of it
Подписка
Read part of it
Современные методы диагностики заболеваний бассейна нижней полой вены : Учебное пособие для ординаторов и слушателей ФДПО хирургических специальностей / Р. Е. Калинин, И. А. Сучков, А. С. Пшенников и др. - Рязань : РязГМУ, 2024. - 96 c. - Текст : электронный // ЭБС "Букап" : [сайт]. - URL : https://www.books-up.ru/en/book/sovremennye-metody-diagnostiki-zabolevanij-bassejna-nizhnej-poloj-veny-17722619/ (дата обращения: 14.05.2026). - Режим доступа : по подписке.
Аннотация

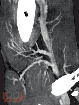
Учебное пособие содержит основные сведения о анатомии и физиологии венозной системы нижних конечностей, морфологии и патофизиологии данных заболеваний, современных методах диагностики. Рассчитано на ординаторов и слушателей ФДПО хирургических специальностей.

свернуть
Дополнительные материалы
Изображения 57

Ещё больше материалов после регистрации

Видео 0
В этом разделе еще нет дополнительных материалов, будьте первыми.
Аудио 0
В этом разделе еще нет дополнительных материалов, будьте первыми.
Документы 0
В этом разделе еще нет дополнительных материалов, будьте первыми.
Добавить материал
Большая медицинская библиотека
Современные методы диагностики заболеваний бассейна нижней полой вены : Учебное пособие для ординаторов и слушателей ФДПО хирургических специальностей / Р. Е. Калинин, И. А. Сучков, А. С. Пшенников и др. - Рязань : РязГМУ, 2024. - 96 c. - Текст : электронный // ЭБС "Букап" : [сайт]. - URL : https://www.books-up.ru/en/book/sovremennye-metody-diagnostiki-zabolevanij-bassejna-nizhnej-poloj-veny-17722619/ (дата обращения: 14.05.2026). - Режим доступа : по подписке.
Подписка
6 месяцев
12 месяцев
Read part of it

Учебное пособие содержит основные сведения о анатомии и физиологии венозной системы нижних конечностей, морфологии и патофизиологии данных заболеваний, современных методах диагностики. Рассчитано на ординаторов и слушателей ФДПО хирургических специальностей.

свернуть

Дополнительные материалы

Ещё больше материалов после регистрации

В этом разделе еще нет дополнительных материалов, будьте первыми.
В этом разделе еще нет дополнительных материалов, будьте первыми.
В этом разделе еще нет дополнительных материалов, будьте первыми.
Добавить материал

Похожие книги