Размер шрифта:
Цвета сайта:
Изображения:
 

Профилактика туберкулеза

Большая медицинская библиотека
Read part of it
Подписка
Read part of it
Ткаченко Л. И. Профилактика туберкулеза : Учебное пособие / Л. И. Ткаченко, О. Д. Баронова, Т. И. Новикова. - Ставрополь : СтГМУ, 2023. - 72 c. - Текст : электронный // ЭБС "Букап" : [сайт]. - URL : https://www.books-up.ru/en/book/profilaktika-tuberkuleza-17829414/ (дата обращения: 30.04.2026). - Режим доступа : по подписке.
Аннотация

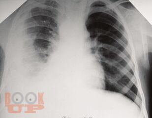
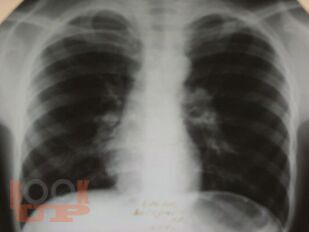
В учебно-методическом пособии отражена характеристика такого инфекционного заболевания как туберкулез, которое по-прежнему остается серьезной проблемой во всем мире. Дана характеристика основных групп риска развития туберкулеза, так как в группах риска заболеваемость туберкулезом в несколько раз выше, чем среди остальной части населения Российской Федерации и Ставропольского края. В пособии дано определение состоянию латентной туберкулезной инфекции, и подробно изложены методы ее диагностики. Также отражены основные направления профилактических мероприятий среди всех возрастных категорий, позволяющие снизить напряженность эпидемической ситуации по распространению туберкулеза.

Предназначено для студентов старших курсов и ординаторов.

свернуть
Дополнительные материалы
Изображения 5

Ещё больше материалов после регистрации

Видео 0
В этом разделе еще нет дополнительных материалов, будьте первыми.
Аудио 0
В этом разделе еще нет дополнительных материалов, будьте первыми.
Документы 0
В этом разделе еще нет дополнительных материалов, будьте первыми.
Добавить материал
Большая медицинская библиотека
Ткаченко Л. И. Профилактика туберкулеза : Учебное пособие / Л. И. Ткаченко, О. Д. Баронова, Т. И. Новикова. - Ставрополь : СтГМУ, 2023. - 72 c. - Текст : электронный // ЭБС "Букап" : [сайт]. - URL : https://www.books-up.ru/en/book/profilaktika-tuberkuleza-17829414/ (дата обращения: 30.04.2026). - Режим доступа : по подписке.
Подписка
6 месяцев
12 месяцев
Read part of it

В учебно-методическом пособии отражена характеристика такого инфекционного заболевания как туберкулез, которое по-прежнему остается серьезной проблемой во всем мире. Дана характеристика основных групп риска развития туберкулеза, так как в группах риска заболеваемость туберкулезом в несколько раз выше, чем среди остальной части населения Российской Федерации и Ставропольского края. В пособии дано определение состоянию латентной туберкулезной инфекции, и подробно изложены методы ее диагностики. Также отражены основные направления профилактических мероприятий среди всех возрастных категорий, позволяющие снизить напряженность эпидемической ситуации по распространению туберкулеза.

Предназначено для студентов старших курсов и ординаторов.

свернуть

Дополнительные материалы

Ещё больше материалов после регистрации

В этом разделе еще нет дополнительных материалов, будьте первыми.
В этом разделе еще нет дополнительных материалов, будьте первыми.
В этом разделе еще нет дополнительных материалов, будьте первыми.
Добавить материал

Похожие книги