Размер шрифта:
Цвета сайта:
Изображения:
 

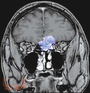
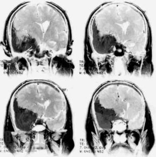
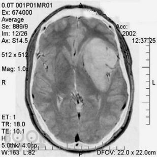
Первичные опухоли головного мозга

Большая медицинская библиотека
Read part of it
Подписка
Read part of it
Авдонина Ю. Д. Первичные опухоли головного мозга : учебное пособие / Ю. Д. Авдонина, В. Д. Трошин. - Н. Новгород : Издательство ПИМУ (НижГМА), 2018. - 80 c. - ISBN 9785703212370. - Текст : электронный // ЭБС "Букап" : [сайт]. - URL : https://www.books-up.ru/en/book/pervichnye-opuholi-golovnogo-mozga-13004894/ (дата обращения: 28.05.2026). - Режим доступа : по подписке.
Аннотация

Кратко изложены этиология, особенности эпидемиологии, патогенеза, классификация и основные клинические проявления первичных опухолей головного мозга, современные принципы клиники, диагностики и оказания госпитальной помощи больным с данной патологией. Представлены алгоритмы обследования и лечения больных с наиболее часто встречающимися опухолями в зависимости от стадии течения патологического процесса.
Для студентов, обучающихся по специальности «Лечебное дело» по дисциплине «Неврология, медицинская генетика, нейрохирургия».

свернуть
Дополнительные материалы
Изображения 5

Ещё больше материалов после регистрации

Видео 0
В этом разделе еще нет дополнительных материалов, будьте первыми.
Аудио 0
В этом разделе еще нет дополнительных материалов, будьте первыми.
Документы 0
В этом разделе еще нет дополнительных материалов, будьте первыми.
Добавить материал
Большая медицинская библиотека
Авдонина Ю. Д. Первичные опухоли головного мозга : учебное пособие / Ю. Д. Авдонина, В. Д. Трошин. - Н. Новгород : Издательство ПИМУ (НижГМА), 2018. - 80 c. - ISBN 9785703212370. - Текст : электронный // ЭБС "Букап" : [сайт]. - URL : https://www.books-up.ru/en/book/pervichnye-opuholi-golovnogo-mozga-13004894/ (дата обращения: 28.05.2026). - Режим доступа : по подписке.
Подписка
12 месяцев
Read part of it

Кратко изложены этиология, особенности эпидемиологии, патогенеза, классификация и основные клинические проявления первичных опухолей головного мозга, современные принципы клиники, диагностики и оказания госпитальной помощи больным с данной патологией. Представлены алгоритмы обследования и лечения больных с наиболее часто встречающимися опухолями в зависимости от стадии течения патологического процесса.
Для студентов, обучающихся по специальности «Лечебное дело» по дисциплине «Неврология, медицинская генетика, нейрохирургия».

свернуть

Дополнительные материалы

Ещё больше материалов после регистрации

В этом разделе еще нет дополнительных материалов, будьте первыми.
В этом разделе еще нет дополнительных материалов, будьте первыми.
В этом разделе еще нет дополнительных материалов, будьте первыми.
Добавить материал

Похожие книги