Размер шрифта:
Цвета сайта:
Изображения:
 

Морфология плаценты при урогенитальном инфицировании

Read part of it
Подписка
Read part of it
Морфология плаценты при урогенитальном инфицировании / Л. Р. Мустафина, С. В. Логвинов, С. Ю. Юрьев, Л. А. Агаркова. - Томск : Печатная мануфактура, 2016. - 120 c. - ISBN 9785944763303. - Текст : электронный // ЭБС "Букап" : [сайт]. - URL : https://www.books-up.ru/en/book/morfologiya-placenty-pri-urogenitalnom-inficirovanii-9679503/ (дата обращения: 16.02.2026). - Режим доступа : по подписке.
Аннотация

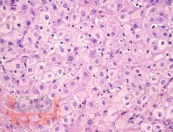
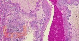
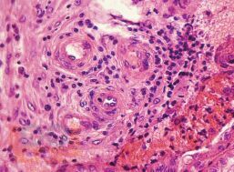
Монография посвящена анализу влияния урогенитальной инфекции на морфологию и функционирование плаценты у женщин с бессимптомным течением микоплазменной, уреаплазменной и хламидийной инфекций. Представлены современные данные о гистологическом строении компонентов маточно-плацентарной области – эндометрия, базальной децидуальной оболочки, ворсинчатого хориона. Освещена проблема формирования плацентарной недостаточности на фоне урогенитального инфицирования. Изложены результаты морфологического исследования плацент при разных видах урогенитального инфицирования.
Для морфологов, акушеров-гинекологов, ординаторов, студентов медицинских вузов и факультетов.

свернуть
Дополнительные материалы
Изображения 26

Ещё больше материалов после регистрации

Видео 0
В этом разделе еще нет дополнительных материалов, будьте первыми.
Аудио 0
В этом разделе еще нет дополнительных материалов, будьте первыми.
Документы 0
В этом разделе еще нет дополнительных материалов, будьте первыми.
Добавить материал
Морфология плаценты при урогенитальном инфицировании / Л. Р. Мустафина, С. В. Логвинов, С. Ю. Юрьев, Л. А. Агаркова. - Томск : Печатная мануфактура, 2016. - 120 c. - ISBN 9785944763303. - Текст : электронный // ЭБС "Букап" : [сайт]. - URL : https://www.books-up.ru/en/book/morfologiya-placenty-pri-urogenitalnom-inficirovanii-9679503/ (дата обращения: 16.02.2026). - Режим доступа : по подписке.
Подписка
6 месяцев
12 месяцев
Read part of it

Монография посвящена анализу влияния урогенитальной инфекции на морфологию и функционирование плаценты у женщин с бессимптомным течением микоплазменной, уреаплазменной и хламидийной инфекций. Представлены современные данные о гистологическом строении компонентов маточно-плацентарной области – эндометрия, базальной децидуальной оболочки, ворсинчатого хориона. Освещена проблема формирования плацентарной недостаточности на фоне урогенитального инфицирования. Изложены результаты морфологического исследования плацент при разных видах урогенитального инфицирования.
Для морфологов, акушеров-гинекологов, ординаторов, студентов медицинских вузов и факультетов.

свернуть

Дополнительные материалы

Ещё больше материалов после регистрации

В этом разделе еще нет дополнительных материалов, будьте первыми.
В этом разделе еще нет дополнительных материалов, будьте первыми.
В этом разделе еще нет дополнительных материалов, будьте первыми.
Добавить материал

Похожие книги